Një qytetar u shtrua urgjent në spital për shkak të një dhimbje të fortë në kraharor.
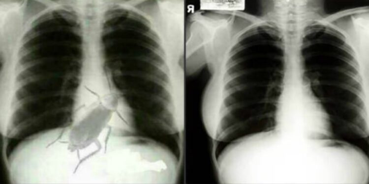
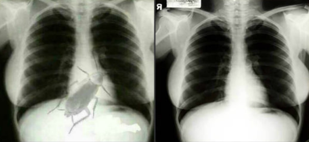
Pasi i bënë një grafi të shpejtë në spitalin “Rusape General Hospital” në Zimbabve u pa që pacienti kishte një kacabu (buburrec) në kraharor dhe që kur lëvizte jepte dhimbje të padurushme.
Mjekët e këshilluan pacientin të shkojë jashtë vendin, në Indi, për një ndërhyrje kirurgjikale më profesionale.
Pacientit iu desh të shesë shtëpinë e gjithçka që kishte, gjeti dhe mbështetjen financiare të afërmve dhe u nis menjëherë për në Indi.
Pasi mbërriti në Indi, mjekët i bënë një grafi tjetër dhe i thanë se nuk kishte asnjë shenjë buburreci në kraharor.
Sipas tyre, buburreci kishte hyrë në pajisjet e grafisë dhe jo në kraharorin e tij.







